国考晋位升级之一科一报道|颈动脉超声造影——透视血管的另一只“眼”
随着社会经济的发展,国民生活方式的变化,尤其是人口老龄化及城镇化进程的加速,居民不健康的生活方式日益突出,心血管疾病发病率仍持续增高。《中国心血管健康与疾病报告2023》心血管病是我国城乡居民的首要死亡构成比,农村为48.98%,城市为47.35%。心血管病给居民和社会带来的经济负担日渐加重,已成为重大的公共卫生问题。而动脉粥样硬化斑块像潜伏在血管中的头号杀手,如何及早探查到这个隐藏的“杀手”?我们的秘密武器就是颈部超声造影检查。
![]()

2021年中国城乡居民主要疾病死因构成比
01什么是颈动脉超声造影
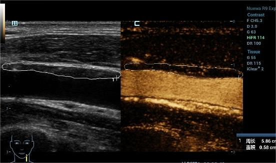
超声造影是在常规超声检查的基础上,通过静脉注射超声造影剂,增强对比作用,无创性评价斑块的稳定性及急性脑血管疾病的发生风险,弥补了常规超声的不足,是一种诊断颈动脉易损斑块的安全、有效、无创的检查方法。
02斑块的稳定性指什么?
我们把粥样硬化斑块大致分为稳定型和不稳定型两种类型。稳定型斑块新生血管少,纤维帽较厚,脂质池较小,因而通常不会引起明显的临床症状; 不稳定性斑块---易损斑块,指的是那些具有较高风险发生破裂、产生血栓或迅速进展的斑块,易损斑块结局:斑块破裂和(或)血栓形成;危害就是与卒中的发生密切相关。

新生血管是衡量斑块稳定性的重要指标之一,它的密度越大,代表着稳定性越差,就越容易破裂而脱落,碎片游走到全身各处,跑到哪里破坏到哪里。
03哪些人需要进行颈动脉超声造影?
1.对所有常规超声评估为高风险或易损斑块的进行进一步风险评估,评价斑块内新生血管的情况;

2.心脑血管疾病的中高风险人群,尤其有心肌梗死及脑梗病史人群,需清晰显示内膜轮廓,精确测量管腔狭窄程度,鉴别重度狭窄与完全闭塞;
3.血管病变其他原因,如大动脉炎、动脉夹层、动脉瘤等;
4.颈动脉内膜剥脱术、支架术、溶栓等各类治疗后随访者。
04超声造影剂有哪些?
超声造影剂(声诺维)--六氟硫化,为微泡造影剂,是相对安全的一种造影剂,它半衰期短,主要经过呼吸作用排出体外,没有明显的肝肾毒性,尤其适用于有肾功能不全的患者。相关的副作用或不良反应报道很少。
![]()
![]()
05颈动脉的超声造影报告怎么看?
我们把颈动脉斑块造影分做4级:I~IV级依此显示新生血管从无到有,逐步增多。其中I~II级为稳定斑块,II~IV级为易损斑块。我们可以借助超声造影清晰地显示斑块的表面溃疡,整体形态等结构; 还能清晰显示动脉管腔狭窄的位置以及是否合并闭塞,指导临床进一步干预及评估干预效果。


如果您有高血压、糖尿病、高血脂等基础疾病或脑卒中、冠心病等家族史,建议每年进行一次颈动脉超声检查。通过常规超声检查发现斑块,颈动脉超声造影检查评估斑块内新生血管情况,以利于临床医生及时进行早期干预。

目前,超声科现已开展颈动脉斑块超声造影检查,可以更好地为临床诊疗提供帮助。如果您有颈动脉粥样硬化斑块或者有脑卒中、冠心病等家族史,想要评估颈动脉斑块稳定性请您联系超声科为您服务。
联系电话:0471-5281216 5281219
联系医师:高智文 王丽 范琳琳

