小技术解决大“食”事 ——呼和浩特市第一医院重症医学科成功开展首例空肠营养管盲插置入术
俗话说“人是铁,饭是钢,一顿不吃饿的慌”。对危重症患者来说,营养支持治疗已成为危重症患者治疗的重要手段之一,对患者预后起着至关重要的作用,营养支持中首选肠内营养。对于不能经口进食的患者,必须留置胃管或空肠营养管,对于某些患者如重症胰腺炎,胃动力差,有返流和误吸高风险的患者来说须留置空肠营养管。针对空肠管置入,目前已开展了在x线下、胃镜下和盲插置入等多种方法。在x线下和胃镜下置入成功率高,但需要一定的设备场所和技术条件,而盲插置入,在床边即可进行,不仅可以避免外出风险,同时减轻患者痛苦,减少患者费用,临床适应范围广,更适合危重症患者。对于危重症患者尽早实施空肠内营养,它不仅可以有效改善肠内营养的耐受性,明显降低由胃、食道反流引起的误吸及呕吐、减少VAP并发症的发生,同时能达到营养需求。
近日,呼和浩特市第一医院重症医学科开展了首例经床旁经鼻空肠营养管盲插置入术,成功为一名重症肺炎、严重胃潴留的患者置入空肠营养管,建立起营养通路,为危重患者的肠内营养提供了有力保障。
患者男性,高龄,患有严重肺部疾病,诊断为重症肺炎,气管插管呼吸机辅助通气,低氧血症,需每日俯卧位通气治疗维持氧合,同时患者也急需肠内营养支持,但面临的问题是患者俯卧位情况下胃潴留严重,消化功能差,也存在极大的误吸风险。为了能使患者达到每日必须的营养需求,重症医学科医护团队讨论研究后,决定为患者经鼻置入空肠营养管。恰逢我科主管护师葛敏飞刚从东南大学附属中大医院重症医学科进修归来,护士长梁雪娟组织讨论后决定,由葛敏飞完成此项操作。
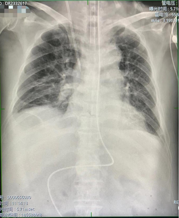
最后行腹平片检查后,结果显示空肠管尖端到达空肠,位置良好,确认置管成功。

当前肠内营养治疗发展迅速,临床上普及程度越来越高,对临床营养护理提出高挑战,特别是置管技术。肠内营养的实施对管道护理要求较高,仅靠鼻胃管置管技术不能完全满足当前临床需要,要求护士不断实践探索,改良盲插置入技术,采取联合充气置管、导丝弯折、多导丝置管等新方法,使床旁盲插获得最大成功率。
此次置管成功,既保证了患者的安全,又达到了治疗效果,同时也标志着我院急危重症护理在胃肠营养方面上了一个新的台阶,提供了可靠的技术保障,减少了患者痛苦,也将为特殊病人的救治打下坚实的基础。

