国考晋位升级之一科一报道 | 呼和浩特市第一医院超声医学科绿色通道为先心病新生儿点燃生命希望
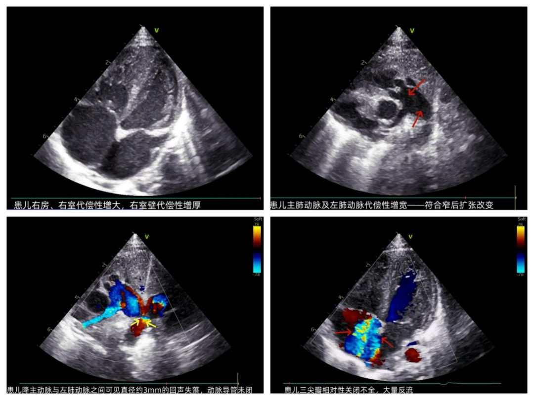
午夜12点,城市沉浸在宁静酣睡中时,呼和浩特市第一医院超声医学科灯火通明,值班医生坚守岗位随时准备出发。此时值班室电话铃响起,是新生儿监护室紧急呼叫——一名出生不到72小时的新生儿因血氧水平低,急需超声医学科进行心脏评估查找病因,值班医生推着床旁超声机一路小跑来到患儿旁开始了细致的检查,小小的身体伴随着急促的喘息,由于患儿缺氧严重、躁动不安,检查过程并不顺利,同时发现患儿肺动脉瓣异常增厚、流速增高超过高限,考虑肺动脉瓣发育畸形。超声急诊医生检查完为确保结果完整可靠,第二日交班叮嘱接诊医生要进一步检查,遂超声门诊开通“绿色通道”,确保氧气供给安全时间内完成检查,检查中发现患儿动脉导管处约3mm的窗型回声失落,伴随大血管水平左向右分流,确诊为"肺动脉瓣狭窄合并动脉导管未闭"。同时超声科为此类新生儿开辟"先心病绿色通道",为新生儿的生命安全保驾护航。

图为患儿心脏超声图像

图为患儿心脏超声图像科普知识
什么是肺动脉瓣狭窄(pulmonary stenosis,PS):肺动脉瓣口狭窄而室间隔完整的一类先天性心脏病,其发生率占先天性心脏病的8%~10%,重症PS在产后早期即可表现出严重的低氧、心力衰竭等症状,约15%的患儿在新生儿期病死, 需急诊手术治疗,中度以上的狭窄也应在婴幼儿期手术。手术方式有经皮球囊肺动脉成形术(PBPV)及外科手术治疗。
病因:胚胎早期,动脉干为单腔管道与圆锥部相连,之后逐渐分隔成主动脉和肺动脉。肺动脉瓣和瓣环由动脉干的近端发育而成。分隔过程中,肺动脉瓣开始发育,在肺动脉腔内形成三个动脉干隆起,并向中心生长,之后逐渐吸收变薄,形成三个半月形肺动脉瓣,该处外壁形成肺动脉窦。如动脉干隆起发育形成肺动脉瓣发生异常,则会导致肺动脉瓣狭窄或肺动脉瓣数目异常。

图为心脏及肺动脉瓣结构
PS主要引起右室向肺动脉泵血受阻,导致右室收缩压升高,收缩压与狭窄程度呈正比,与心排量呈反比。轻度狭窄引发右室压力变化不明显,心排量影响不大,一般无临床症状。中度以上狭窄右室压增高,心排量减低,严重者可出现周围性紫绀甚至晕厥。如合并PFO或ASD,而出现房水平右向左分流,患者可出现中心型紫绀和缺氧表现。长期的右室后负荷增大,右室心肌肥厚、心腔扩大、心内膜下心肌缺血、心肌劳损,最终导致右心功能衰竭。
超声心动图是诊断肺动脉瓣狭窄的金标准工具,其“无创、实时、精准的特性为早发现、早治疗”提供了不可替代的支撑。并且能够进一步评估肺动脉瓣狭窄的程度,提供精准的治疗方案。
绿色通道,让新生儿"零等待"
从新生儿科呼叫到完成对患儿的全面心脏超声评估,整个过程仅耗时20分钟。这一显著的效率提升归功于超声科实施的“危重先心病绿色通道”。为新生儿开辟了一条高效便捷的超声检查通道。一旦临床医生怀疑婴儿可能患有先天性心脏病,超声医生迅速介入,无需预约等待。对于那些无法前往科室接受检查的婴儿,超声床旁检查,直接到达婴儿床旁进行评估,避免了移动过程中可能发生的突发状况。
生命重启:从诊断到治疗的闭环
超声报告的出具标志着治疗的启动,而非其终结。根据绿色通道的流程,患儿的影像数据被实时共享至新生儿科。这位患有肺动脉瓣狭窄的患儿,被迅速转接至相关专科医院接受进一步治疗。
“以往,这类患儿转接至上级专科医院平均需要48小时,而现在我们在5小时内就能够明确诊断找到病因并及时对接转诊工作。”新生儿科肖莉主任感慨道。
用技术温暖生命的起点
在出院随访中,患儿家长不约而同提到一个细节:检查时,超声医师会用手加热耦合剂。“先心病的治疗不仅仅是依托检查技术,更是超人们爱心的体现”。守护生命的起点。
窗外晨曦微露,超声科的灯光依然明亮。那些跳动的图像和曲线,为更多"小心脏"铺一条生机盎然的绿色之路。

