呼和浩特市第一医院普外一科顺利完成首例全腹腔镜下先天性胆管扩张切除胆管空肠吻合内引流术
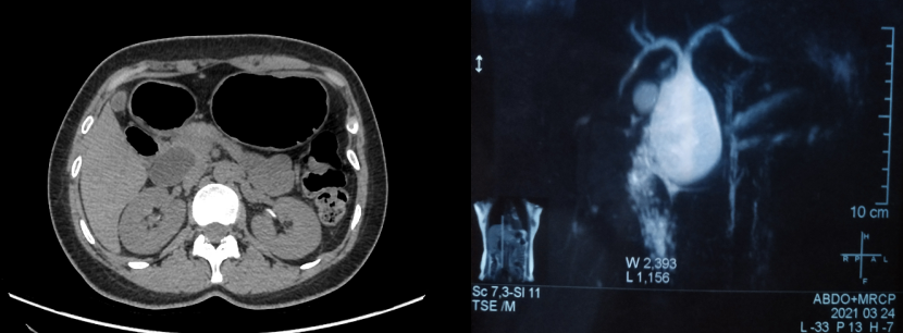
2021年3月,来自山西朔州的年轻女患者,反复出现上腹部疼痛20余年,近一个月腹痛加重,于当地医院诊断为先天性胆管扩张症Ⅰ型,建议做腹腔镜微创手术,但由于条件所限不能完成。患者通过多方咨询,慕名来到我院普外一科(肝胆胰脾),请求张俊晶副院长为她做手术。

先天性胆管扩张症发病率较低,亚裔发病较其他人种稍高。随着年龄增加扩张的胆管恶变风险逐年增加。普外一科于2021年4月2日在全麻下为该患者行全腹腔镜胆管病损切除胆管空肠吻合内引流术,手术由张俊晶副院长主刀,此项手术为我院首例,在内蒙古自治区外科领域达到领先水平。




手术首先分离肝外胆管的囊性扩张,扩张的胆管深入胰腺段很深,切断扩张的胆管及胆囊,将空肠肠袢与预留胆管进行缝合,再将空肠进行肠肠侧吻合,手术时间230分钟,出血量约50ml。

患者术后恢复良好,无并发症发生。在医护人员的精心护理下顺利出院,出院时患者为张俊晶副院长送来锦旗。

张俊晶 主任医师 党委委员 副院长
从事普通外科疾病诊疗工作,尤其擅长肝胆胰脾的疑难病、危重病诊疗,在肝胆胰脾微创治疗领域居内蒙古自治区领先、国内先进水平。是全国卫生系统青年岗位能手、内蒙古自治区草原英才、内蒙古高等教育青年领军人才,为首届内蒙古青年创新人才奖、内蒙古中青年科学技术创新奖获得者。2011 年获得首都医科大学普通外科博士学位。任中国医师协会外科医师分会微创外科委员会青年委员会委员、中国中西医结合学会灾害医学专业委员会教育培训学组委员、内蒙古医学会外科学分会委员、内蒙古医学会外科学分会胰腺学组副组长、内蒙古医师协会肝胆胰脾外科医师分会常委。
呼和浩特市第一医院肝胆胰脾外科前身为呼和浩特市第一医院普外科,搬迁至新医院后,分科细化,2010年更名为普外一病区(肝胆胰脾外科),主攻方向为肝胆胰脾疾病,治疗范围包括肝脏、胆道、胰腺、脾脏等疾病,尤其对胆囊结石、胰腺炎、胆道疾病治疗积累了丰富的临床经验。科室以微创手术为主,先后开展了腹腔镜下胆总管取石术数例,腹腔镜及胆道镜双镜联合下保胆取石术,脾切除术,肝囊肿开窗引流术,胰十二指肠切除术、胆囊、胆管癌根治术,右半肝切除术,胰体尾切除术,受到患者及家属一致好评,获得良好社会效益。胆结石和胆囊息肉是我国常见的疾病之一,呼和浩特市第一医院普外一科采取微创与开放手术结合的方法,为大量患者解除痛苦,缩短住院时间,痛苦小,恢复快。


