生死博弈:一位年轻患者的曲折救治之路——呼和浩特市第一医院肝胆胰脾外科成功救治一例疑难复杂腹腔巨大肠系膜纤维瘤患者
一、辗转求医无果,病情步步紧逼
患者张某,31岁女性,因腹胀、腹痛反复发作3年辗转就医。此前已在外院经历4次腹部手术,其中2021年因家族性肠息肉病行全结肠切除术。2022年起,腹部包块迅速增大至25cm×18cm,如同怀胎七月的孕妇,压迫导致进食困难。其家属先后带患者前往北京301医院、北京肿瘤医院等顶尖医疗机构就诊,但因肿瘤与肠系膜血管、十二指肠紧密粘连,切除后可能引发致命性大出血或多器官衰竭,多家医院评估手术风险后选择保守治疗。


二、多学科会诊破僵局,精湛技术精准“排雷”
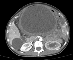
2024年10月,饱受折磨的患者抱着最后一线希望来到我院肝胆胰脾外科。入院后检查显示,肿瘤已侵犯约60%的小肠肠管,且包绕肠系膜上动脉分支。党委副书记、院长张俊晶立即启动MDT(多学科诊疗)机制,联合医学影像科、麻醉科、介入治疗科、重症医学科等进行多次联合会诊。


三、极限手术:刀尖上的生命守护
2024年10月20日,在我院签约专家北京火箭军总医院副主任医师刘军桂的全程指导下,手术团队开启攻坚战。
惊险一幕:分离肿瘤与十二指肠时,发现局部组织已呈“蛋壳样”菲薄,稍有不慎即会穿孔。手术团队采用“钝性剥离+生物蛋白胶封堵”技术,在0.5mm厚度区域完成安全分离;
生死抉择:肿瘤侵犯大面积小肠,手术团队果断切除坏死肠段并行小肠造口,保留足够消化吸收功能。



术中病理快检:在肿瘤边缘冰冻切片确认无恶性细胞残留,避免过度切除健康组织。
术后病理确诊为肠系膜纤维瘤,印证了术前判断。
四、跨省接力战并发症:肠瘘救治显功力
术后危机:患者术后出现高热、腹腔引流管引流出浑浊液体,CT证实十二指肠水平部瘘。因营养不良合并重症感染患者病情恶化。


2024年肝胆胰脾外科成立外科重症治疗组,派4名高年资医护人员赴东部战区总医院(原南京军区总医院)重症医学科进修学习。危急时刻,正在南京进修的卢俊杰副主任医师立即启动绿色通道,24小时内完成患者航空转运。南京专家团队采用肠瘘修补、黎式双套管冲洗引流、跨瘘口营养支持。经过42天治疗,患者每日瘘口引流量从500ml降至20ml,达到转院标准。
五、本土化精细管理:营养支持体系立奇功
患者转回我院后,因患者短肠综合征,营养补充和吸收成为主要矛盾,肝胆胰脾外科重症组制定个性化方案。如果营养治疗失败,瘘口愈合及盆腹腔感染灶痊愈会前功尽弃。为此制定“四联阶梯”营养支持:
首周:全肠外营养(TPN)+ω-3鱼油脂肪乳抗炎;
第二周:经鼻肠管持续泵入短肽型肠内营养制剂;
第三周:添加益生菌制剂重建肠道微生态;
第四周:过渡至口服高蛋白饮食+模块化营养组件补充。增加肠内营养在肠道停留时间,有利于营养吸收。与此同时腹腔双套管负压冲洗应用,大大缩短腹腔感染的治疗周期。

出院时,患者体重恢复至50kg(较入院增加4kg),白蛋白水平达41g/L,实现完全经口进食,拔管痊愈出院。患者近6月治疗凸显我院外科在急危重症治疗水平质的提升。
六、聚焦肠系膜纤维瘤:沉默的“腹腔杀手”
肠系膜纤维瘤病(Mesenteric Fibromatosis)是一种罕见的间叶源性肿瘤,起源于肠系膜或腹膜后纤维组织,占消化道间叶源性肿瘤的0.8%-1.2%,年发病率约0.17/10万。其生物学特性介于良恶性之间,尽管无远处转移倾向,但具有侵袭性生长、术后易复发(5年复发率40%-60%)的特点,被称为“交界性肿瘤”。与遗传因素(如家族性腺瘤性息肉病基因突变)、创伤或手术史(局部炎症刺激)、激素水平(雌激素受体阳性)相关。肿瘤常包裹肠系膜血管(如肠系膜上动脉分支)、肠管及邻近脏器,形成“树根状”粘连,导致手术分离困难。常规CT误诊率达43%,需结合MRI弥散加权成像(DWI)与超声造影才能将准确率提升至89%。肿瘤每增大1cm,主要血管损伤风险增加17%;复发率五年内高达40%-60%。
在学科带头人张俊晶院长的引领下,呼和浩特市第一医院肝胆胰脾外科与北京火箭军总医院肝胆外科段伟宏教授团队建立了长期稳定战略合作关系,旨在打造首府地区腹部疑难复杂疾病诊疗高地,铸就“安全、精准、微创、高端、经济、便捷”的科室品牌和学科特色,为建设健康内蒙古贡献更大力量。

