国考晋位升级之一科一报道|呼和浩特市第一医院口腔科成功完成首例上颌窦外提升术
发布日期:2025-04-23
近日,呼和浩特市第一医院口腔科在北京协和医院口腔科种植专家李倩教授的指导下,在门诊首次成功完成一例高难度上颌窦外提升术,标志着我院在口腔种植领域的技术水平迈上新台阶。

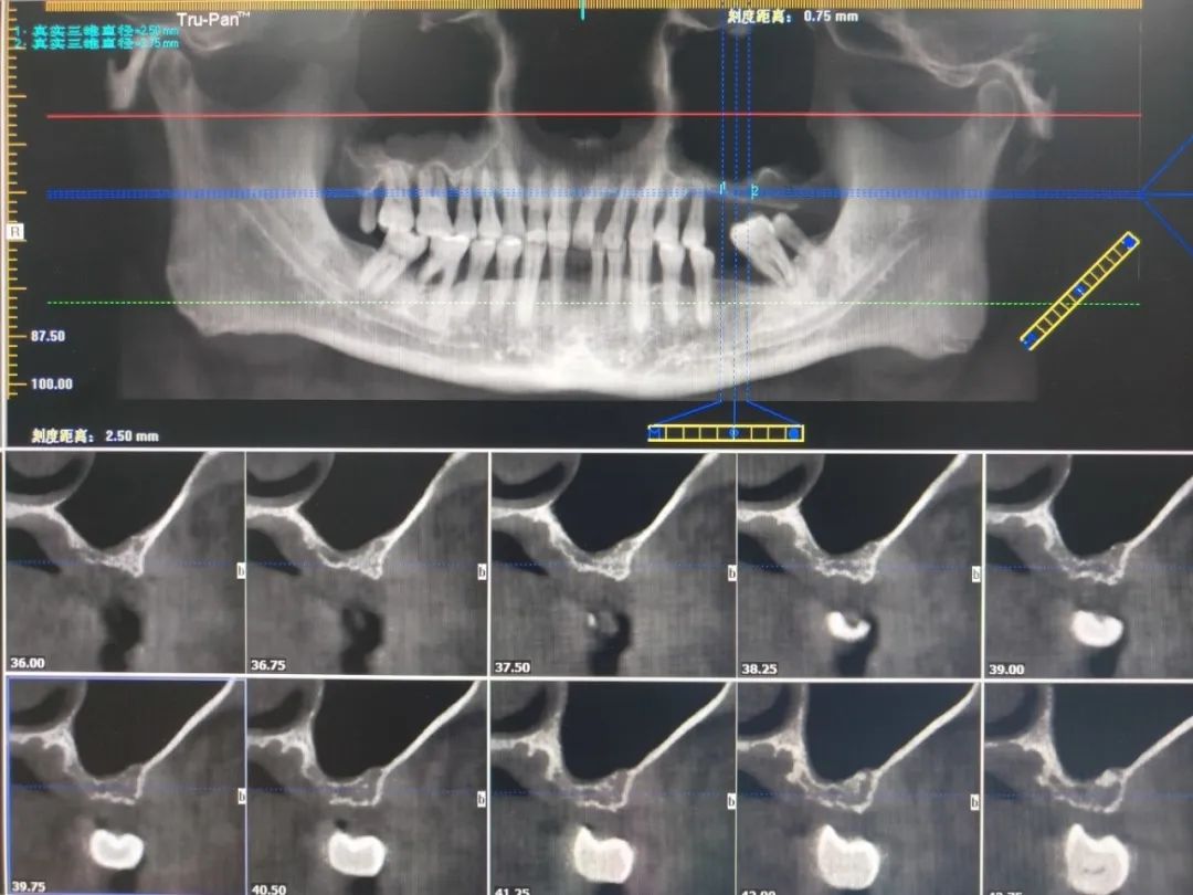
此次手术患者为一名左侧上颌后牙缺失患者,因炎症吸收与长期缺牙导致牙槽骨高度不足(剩余骨高度仅2.50mm—3.75mm),无法直接植入种植体。术前通过锥形束口腔CBCT精准评估上颌窦底形态、骨量及黏膜厚度,最终选择效果较稳定的外提升术式。术中,在心电监护下,通过上颌窦黏膜提升与骨填充,成功将骨高度提升15.50mm—16.50mm,术后影像显示即刻植骨形态良好,窦底黏膜完整无穿孔。


上颌窦外提升术对操作技术要求极高,需使用超声骨刀在暴露的骨壁上打开骨窗,保留内侧骨板,精准控制深度,并避免黏膜损伤。此次手术由李倩教授全程指导,结合我院先进的锥形束CT和超声骨刀设备,实现了微创、高效的操作。术后患者恢复良好,预计6个月后完成骨整合并植入种植体。

呼和浩特市第一医院口腔科自开展种植技术4年来,已累计完成百余例复杂种植手术。此次手术的成功,填补了我院上颌窦外提升技术的空白,为骨量不足患者提供了更优解决方案。科室计划进一步使用超声骨刀设备,提升复杂病例处理能力。


