国考晋位升级之一科一报道|精准消融 守护肝脏健康——超声引导下微波消融技术为肝癌患者带来新希望
发布日期:2025-04-01
科普知识
一、什么是超声引导下肝脏微波消融?
超声引导下微波消融(Microwave Ablation, MWA)是一种微创、精准、高效的肿瘤治疗技术,通过超声实时影像引导,将微波消融针精准穿刺至肝脏病灶内,利用微波热能瞬间产生高温(60-120℃),使肿瘤细胞快速凝固性坏死,达到灭活病灶的目的。
二、技术优势:
1. 实时超声引导,精准灭活超声影像全程可视化操作,清晰显示病灶与周围血管、脏器的关系,确保消融范围精确覆盖肿瘤,保护正常肝组织。


2. 高效灭瘤,降低复发微波能量穿透力强,消融速度快,可一次性灭活3-5厘米的病灶,同时高温热场能封闭肿瘤周围血管,降低转移风险。
三、适应症
1.原发性肝癌(尤其早期小肝癌)。
2.转移性肝癌(如结直肠癌肝转移)。
3.肝硬化背景下无法耐受手术的患者。
4.肝血管瘤、肝囊肿等良性病变。


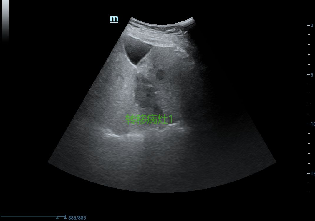
结肠癌肝转移患者多发转移病灶
四、为何选择微波消融?
1.已被《中国原发性肝癌诊疗指南》《NCCN指南》推荐为肝癌根治性手段 。
2.早期肝癌患者5年生存率接近外科手术(达50%~70%),且并发症发生率低于5%。
3.可与介入栓塞(TACE)、靶向药物等联合应用,提升中晚期肝癌综合治疗效果。
五、咨询电话
超声医学科:0471-5281216

