聚焦囊肿 持续发力——呼和浩特市第一医院肾内风湿科联合超声医学科成功完成彩超引导下肾囊肿穿刺引流、聚桂醇硬化治疗
病例分享:2024年6月19日,肾内风湿免疫科李仙峰副主任医师联合超声医学科副主任金殿生共同完成一例73岁高龄男患者彩超引导下单纯性肾囊肿穿刺引流+聚桂醇硬化治疗术,手术过程顺利,患者术后病情平稳,疗效满意,于2024年6月21日出院。
患者,男,73岁,发现双肾囊肿半年余,患者半年前体检发现泌尿系彩超,双肾囊肿,左肾囊肿大小6.4✖4.5✖5.5cm,2024年6月4日就诊我科门诊复查泌尿系彩超示:双肾囊肿,左肾囊肿大小7.2✖6.0✖5.5cm。2024年6月18日为行肾囊肿穿刺引流硬化治疗入院。初步诊断:双肾单纯性肾囊肿。

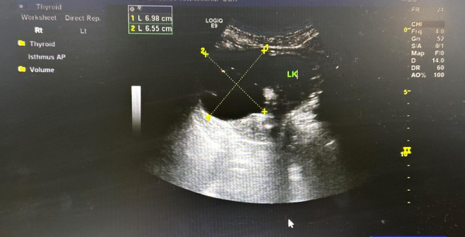
术前超声图片

临床医师在彩超医师的配合下行肾囊肿穿刺引流,生理盐水冲洗,接着开始聚桂醇硬化治疗,屏幕显示肾囊肿逐渐缩小。

手术时引流前超声图片

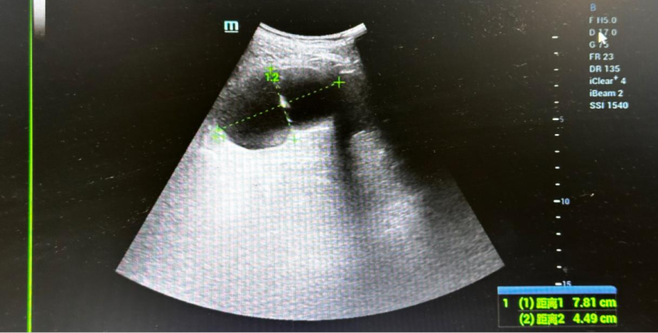
聚桂醇硬化治疗过程中彩超图片
肾囊肿是成年人最常见的一种结构异常。单纯的肾囊肿是后天形成的。一般没有症状,如果囊肿直径较大,超过5cm或者囊肿压迫引起血管闭塞或者尿路梗阻时可出现相应表现,则需要行囊液抽吸术并囊内注入硬化剂。如果囊肿巨大,直径超过10cm,则可能需要手术治疗。
超声引导下肾囊肿硬化治疗是一种超微创术,是利用硬化剂使肾囊壁内皮细胞变性、脱水、坏死,并产生无菌性炎症,纤维组织增生,从而使囊壁粘连、缩小,闭合,逐步吸收并消失。
无水乙醇和聚桂醇是目前较为常用的硬化剂,无水乙醇除存在灼烧感外,还可能引起过敏反应或醉酒样反应,其应用存在局限性。聚桂醇是一种蛋白质凝固剂,对组织有显著的收缩作用,造成组织表面被固化,形成一层致密的蛋白膜,这层蛋白膜可以阻挡聚桂醇向组织内外渗透。聚桂醇注射时无刺激,不产生剧烈疼痛,没有醉酒样反应,无毒副作用。还可以清洁囊壁,融合性更好,可以留置体内持续发挥硬化作用,疗效更好。这也是优于无水乙醇硬化治疗的。而且聚桂醇硬化治疗后,患者症状可在短期内消失或减轻,痛苦小、易于接受,且聚桂醇硬化效果更为温和,对囊腔的刺激性较小,并发症发生率较低。
术者简介


