恶栓急来头等大事,妙手巧取起死回生——呼和浩特市第一医院神经内科三例急诊介入手术分享
(2024年3月,神经内科连续实施3台急诊介入手术)
春节期间,返乡与聚会活动频繁,众多美食诱人。然而,节后不少人出现身体不适,特别是脑血管疾病发病率有所上升。呼和浩特市第一医院神经内科急诊介入团队,作为脑卒中患者的坚实后盾,始终坚守在24小时不间断的脑卒中绿色通道岗位上,随时应对可能发生的紧急情况。一旦有脑卒中患者入院,他们便迅速启动绿色通道,以最快的速度赶赴医院,为患者提供及时的救治。他们的专业精神和高尚医德,赢得了患者及家属的高度赞誉和深切感激。
三台急诊介入取栓手术均成功完成脑卒中再灌注治疗,为患者的康复之路点亮了希望之灯。
病历分享如下:
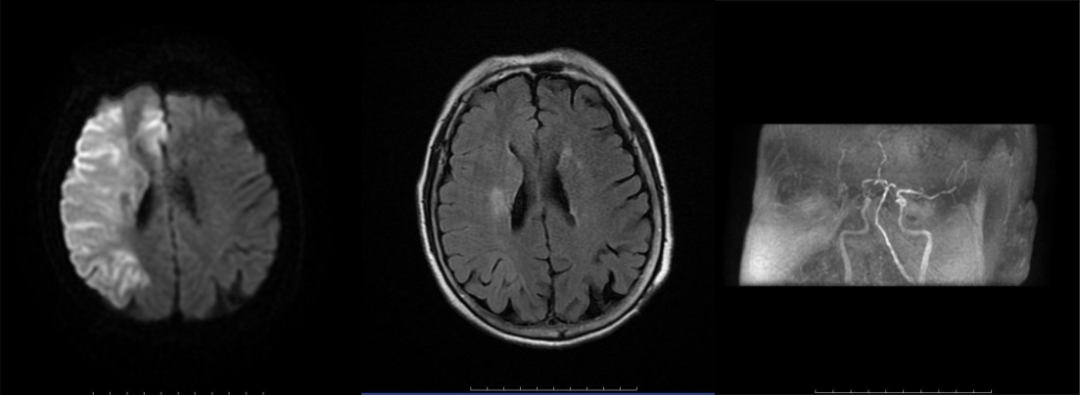
病历一:患者,71岁女性,因突发左侧肢体无力9小时,并伴有进行性意识障碍入院,经急诊MRI检查初步诊断为脑梗死。

神经内科介入团队接诊患者后迅速作出响应,实施造影,并采用Solitaire取栓支架及抽吸导管负压抽吸,成功取出条块状暗红色血栓。

右侧大脑中动脉起始部闭塞,右侧大脑中动脉开通,取出血栓。
经过紧急手术干预,患者的生命得到及时挽救。
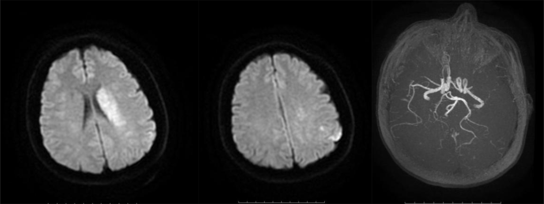
病历二:患者,48岁女性。因突发意识不清、右侧肢体无力及言语功能障碍4小时入院。经急诊磁共振成像(MR)检查诊断为急性脑梗死。

手术团队采用Solitaire取栓支架及负压抽吸成功取栓,恢复血管通畅。

左侧大脑中动脉发出颞前动脉后远端闭塞,左侧大脑中动脉开通,取出血栓。

术后患者恢复情况良好,痊愈后顺利出院。
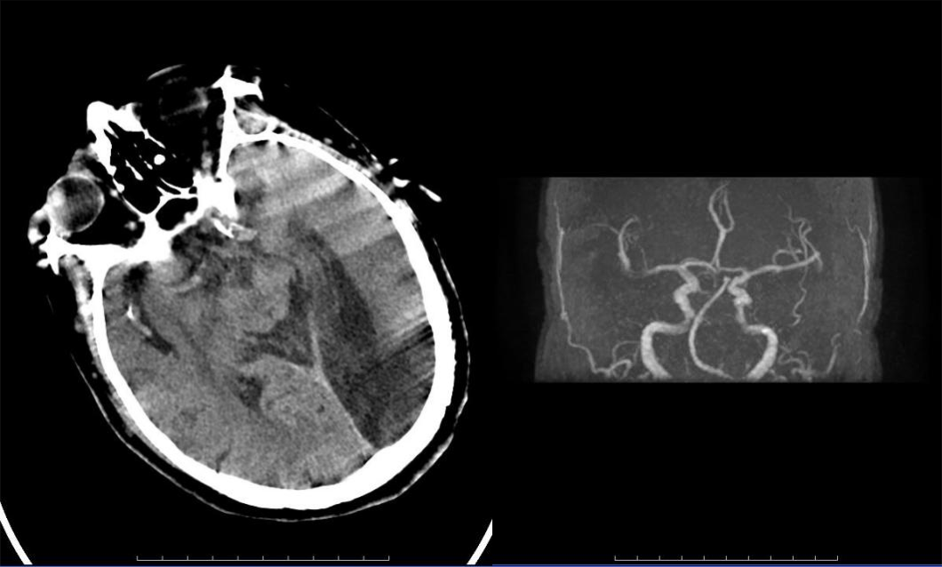
病历三:患者,78岁女性,因左侧肢体无力、右上肢抽搐、言语不清2小时伴意识模糊入院。

介入团队采取上述同样技术取出条块状暗红色血栓,质韧,考虑为心源性栓塞。

大脑中动脉M1段分叉部以远闭塞,大脑中动脉上干开通,取出血栓。

目前患者病情平稳,仍在治疗中。
近年来,脑卒中救治绿色通道的重要性日益凸显。3例手术的成功完成,不仅彰显了呼和浩特市第一医院神经内科急诊介入技术的精湛,更标志着该科室在卒中救治领域工作已全面开展并取得了实质性的进展。
在田文生主任的领导下,神经内科全体医生始终致力于提升医疗服务质量,充分发挥绿色通道在救治过程中的独特优势。他们积极推进卒中中心关键技术的研发与应用,为广大患者提供了优质、高效、专业且科学的医疗服务。这些努力不仅为医院的高质量发展注入了新的活力,更为首府百姓的健康福祉提供了坚实的保障,展现了医者仁心的崇高品质。

