小针眼 大作为——呼和浩特市第一医院介入血管外科肝动脉栓塞术病例分享
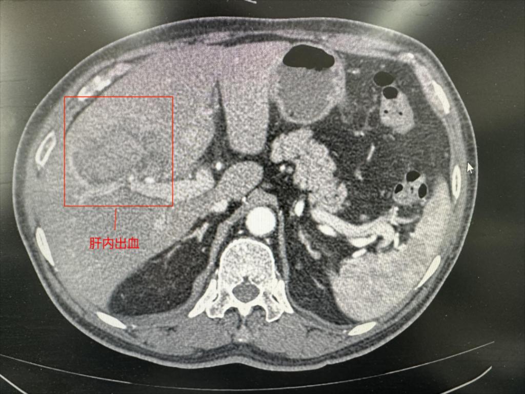
2023年11月2日,64岁的薛先生突发意识丧失,晕倒后伤及右上腹部,由路人拨打120就诊于我院急诊,自述感右上腹剧烈疼痛。立即行CT检查提示:肝右叶挫裂伤、肝内血肿表现。初步诊断为肝脏破裂出血。医院开通紧急救治绿色通道,紧急启动多学科联合会诊。患者系多发伤,病情危重,肝挫裂伤若在全麻下行开腹手术,手术风险极大,即使手术取得成功,也可能会在后期康复过程中面临多种并发症。经我院会诊专家再三讨论,最终决定行介入手术治疗。
肝脏破裂介入治疗无需全麻,仅通过约1毫米的血管穿刺点进行血管内操作,在DSA下寻找出血点,用栓塞材料“堵”住止血点即可,可在短时间内达到快速止血、抢救病人生命的同时,大大减少血液制品的需求。这种新型的微创介入手术既可以及时抢救生命,又可以大大降低手术风险,减少并发症。时间就是生命,在征得患方同意后,介入团队迅速为患者实施手术抢救。近一个小时的手术,精准地将栓塞材料堵住出血点,成功挽救了患者的生命,提高了患者的生存质量,为患者的后续治疗赢得了机会。





科普知识
肝脏是腹腔中最大的实质器官,位置固定且靠近体表、质地脆弱而血供丰富。车祸、撞击、跌落等极易损伤肝脏。肝出血一般弥散至腹腔,引起大量出血且不受限制,会导致失血性休克,甚至来不及抢救。
针对肝脏破裂出血,虽然肝脏创伤破裂仍以手术治疗为主,随着对肝脏创伤认识的深入和检测手段的日益完善,肝脏创伤的非手术治愈率有了明显提高。作为治疗方法的之一的微创手术,包括腹腔镜探查和肝动脉栓塞止血,腹腔镜探查具有创伤小、了解有无活动性出血、清除积血及对表浅损伤进行电凝等优点,但腹腔镜对治疗深度裂伤及严重肝破裂尚有一定困难。肝脏创伤破裂治疗措施有三种:①外科剖腹术,由于失血性休克是肝外伤死亡的主要原因,当肝外伤后有休克症状,在短期内输血500~1000ml后血压仍不好转时,应在抗休克的同时进行剖腹探查手术;②非手术治疗,可避免不必要和不适当的手术干预所致的并发症;③肝动脉造影并经导管栓塞术,应用该方法治疗,不需开腹和麻醉,止血效果明显,尽可能避免了外科手术,不影响肝脏的门脉供血,对肝功能影响小,并发症发生率低。
临床要点
随着对肝脏创伤经验的积累及高质量CT成像的运用,目前一般主张对循环稳定的闭合性肝外伤采取非手术治疗,避免了不必要和不适当的手术干预所致的并发症。因为大多数肝创伤的病人,特别是车祸伤或高处跌下的病人,受伤后血流动力学常仍保持稳定,没有大出血、休克,不需要输血,说明这类损伤大多相对较小或是表浅撕裂,没有重要血管被横断。美国创伤外科协会(AAST)指定的分级标准分为七级:Ⅰ级,肝实质裂伤深度<1cm;Ⅱ级,肝实质裂伤深度1—3cm;Ⅲ级,肝实质裂伤深度>3cm;Ⅳ级,肝实质裂伤范围占全肝25%—50%;Ⅴ级,肝实质裂伤范围占全肝50%以上;Ⅵ级,肝后下腔静脉或肝主静脉损伤;Ⅶ级,肝撕脱伤。如果CT扫描也未显示其他器官的复合创伤(如小肠和胰腺损伤),通常最好的办法就是密切观察病人,跟踪他们的血细胞计数,如生命体征稳定,又无其他证据证明大量失血,可行保守治疗。但对行非手术治疗患者,因其随时有大出血的可能,必须进行严密的监护并随时做好手术准备。非手术治疗者的适应证包括:①血流动力学稳定,生命体征平稳,病人一般情况稳定或渐好转;②无需手术治疗的腹内其他脏器损伤;③B超或CT示腹腔积血量少于500ml,动态观察不增多。
Mirvis钝性肝外伤的CT分级标准

关于钝性肝外伤栓塞治疗效果的报道可追溯至1977年Hagiwara等报道了对损伤等级为3或4级的钝性肝外伤患者给予血管造影及明胶海绵栓塞等非手术手段治疗,结果均获得成功。在后来的研究中,Hagiwara 等前瞻性评估了接受栓塞治疗的损伤等级为3-5级的患者,他们的结论是,对那些增强CT示造影剂外渗的患者,只要血流动力学稳定,无论伤情如何严重均可以进行栓塞治疗。由于栓塞治疗对近肝静脉损伤造成的出血没有明显的效果,Hagiwara等提议这类患者应首选手术治疗,他们发现所有近肝静脉损伤的患者均需要>2000ml/h的液体量进行复苏,因此,他们认为那些损伤等级为4或5,并且需要>2000ml/h的液体量来维持正常血压的患者,有绝对的手术适应证。
肝脏创伤破裂诊断依据:①病史及体征,患者多有右胸背部、右中上腹部受伤史,肝区叩击痛、血性腹膜炎体征及腹穿抽出不凝血等;②辅助检查,近年来,B超及CT作为一种有效、迅速的诊断和鉴别肝创伤的手段,得到了广泛的接受和应用,文献报道B超检查阳性率为95.5%;CT检查阳性率为100%。B超及CT检查可评估肝损伤的范围、深度、部位及失血量,对指导临床治疗的方法极有价值。但当肝门区血管或胆管损伤,单纯按照B超及CT分级并决定是否手术治疗比较困难,可结合临床具体分析。
手术操作要点
(1)造影检查:采用Seldinger技术经右股动脉插入动脉导管鞘及导管,使用高压注射器,以猪尾导管作腹主动脉造影。主动脉造影的目的是发现肝以外的其他出血部位,以及确定肝动脉的解剖位置。如有肝损伤,通常可见到以下征象:①造影剂外渗征象;②肝动脉中断征象,为血管断裂后血凝块形成,又在断裂处堵塞断裂血管所致;③血管远端受压达不到肝的缘,为包膜下血肿压迫所致;④血管走向改变,包括聚拢、撑开、扭曲等征象,为肝内血肿所造成⑤实质期肝脏显影不均匀,肝内血肿显示为充盈缺损;⑥动-静脉瘘或肝动脉-门静脉瘘形成或假性动脉瘤形成者。当出现上述造影表现时,进一步作选择性腹腔动脉和肠系膜上动脉造影。对疑有出血部位者,尽量将导管超选择性插入相关动脉分支,作超选择性血管造影,以明确肝血管损伤的部位、程度和性质,确定拟栓塞的靶血管。
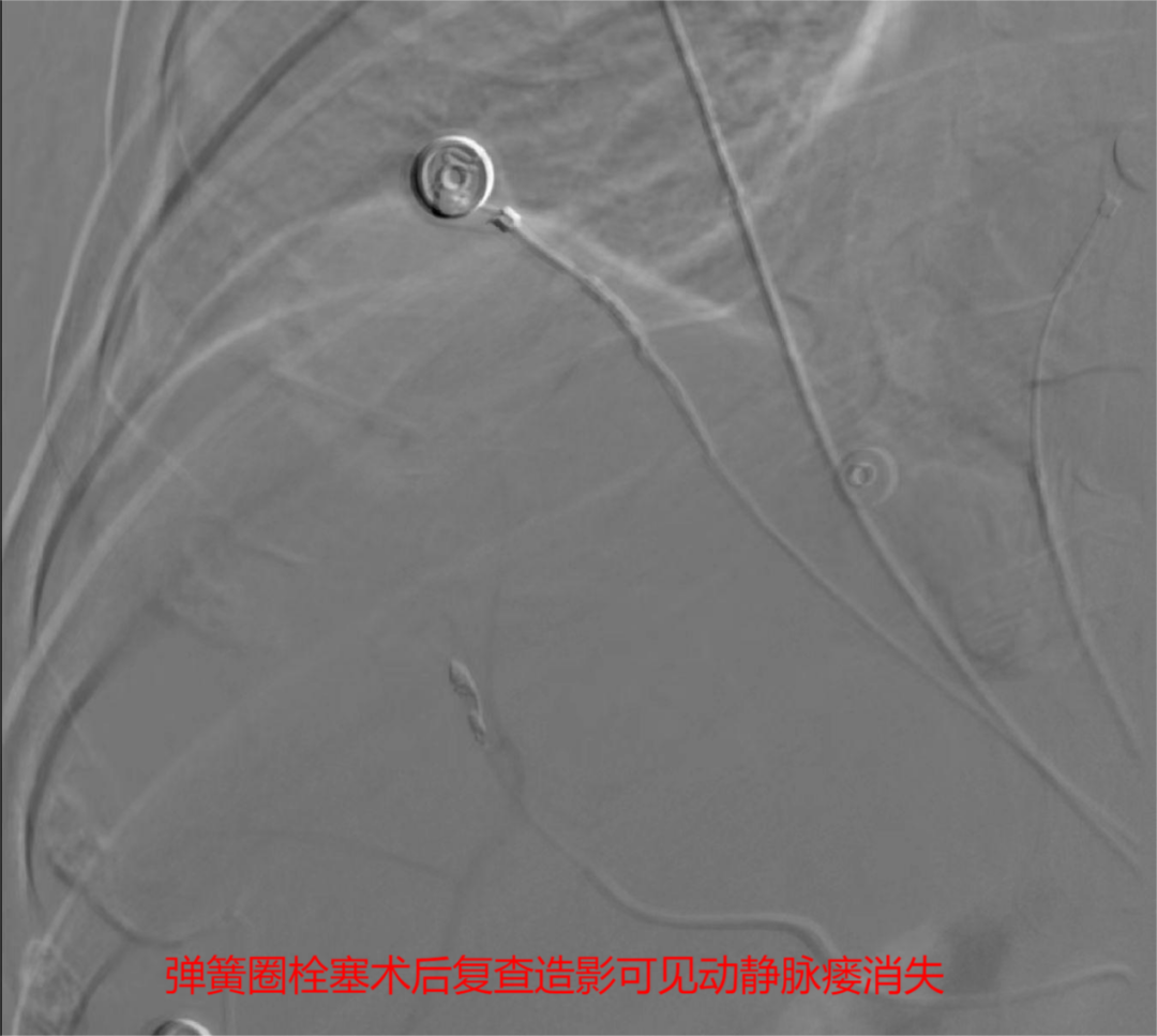
(2)动脉栓塞治疗:①肝损伤部位和拟栓塞的靶血管确定后,超选择性插入相关动脉主干近端,将明胶海绵根据需要剪成粗细不同的颗粒[直径1mmX(1~3mm)]或条块(lmm lmmX5mm),装入混有造影剂及庆大霉素的注射器内并摇匀,在透视监控下缓慢、少量、分次注入损伤血管,当血管血流明显缓慢或铸形,提示出血动脉已闭塞,再造影复查见造影剂外溢消失。
此例患者的成功救治,充分发挥了动脉介入栓塞术治疗的微创性、安全性、定位准、疗效强、见效快、可重复性高等优点,大大提高了创伤患者的救治能力,推动我院微创治疗技术再上新台阶。
呼和浩特市第一医院介入血管外科是集临床、教学、科研为一体的临床重点科室,科室带领的“急性重症肺动脉栓塞介入治疗团队”被评为我院“优秀医师专业团队”院级“VTE防治护理小组”在我科成立并由我科护士长担任组长。科室现由门诊、病房组成。现拥有开放床位20张,介入血管科作为医院外周血管及综合介入业务科室,开展以下业务:1)肝癌、胃癌、肺癌、肾癌、膀胱癌、肝血管瘤、子宫肌瘤等良恶性肿瘤的微创介入治疗;2)头颈部、四肢及内脏血管狭窄或闭塞性病变的腔内成形术;3)大血管病变的腔内治疗,如B型主动脉夹层、胸腹主动脉瘤、髂动脉瘤等;4)内脏动脉瘤的栓塞治疗,如脾、肾、肠系膜动脉瘤等;5)静脉血栓栓塞症(VTE)的治疗,如下肢静脉血栓的血栓清除、接触性导管溶栓、静脉支架置入、肺动脉栓塞的血栓抽吸、腔静脉滤器置入/取出等;6)肝硬化食管胃底静脉曲张破裂出血的介入治疗,如门腔静脉分流术、胃冠状静脉栓塞术等,降低曲张静脉破裂出血风险;7)下肢浅静脉曲张的微创腔内消融闭合治疗,满足爱美人士需求;8)非血管管腔狭窄或闭塞的介入诊疗,如食管、结直肠支架置入,胆管支架置入等;9)各类外伤性大出血的急诊介入栓塞治疗,是抢救此类患者的神兵利器,极大增加了抢救成功率。健康所系,性命相托。在病魔面前,医务人员会用最佳方案、最小代价去救治病患,实现患者利益最大化。
咨询联系方式:任瑞军主任13947104043


