呼和浩特市第一医院介入血管外科病例分享——下肢深静脉血栓后综合征介入治疗
一、病历摘要:
男性,79岁,20年前出现左下肢水肿,进行性发展,诊断为左下肢深静脉血栓形成,行下腔静脉永久滤器置入术,5年前开始出现左下肢间断水肿、麻木,诊断为左下肢血栓后综合征(PTS),左下肢弹力袜加压治疗,病情未见好转,2月前上述症状加重,影响日常生活,左下肢小腿出现皮肤色素沉着,药物及弹力袜加压治疗后无明显改善。
二、术前分析:
1.患者左下肢水肿及皮肤色素沉着原因:结合病史及临床症状,该患者为典型的下肢深静脉血栓后综合征,经药物及加压治疗,仍出现皮肤色素沉着,文献表明,血栓后综合征(PTS)患者主要病因为下肢静脉高压,包括梗阻性和反流性,多数患者同时并存,多数患者合并有髂静脉受压或髂静脉血栓后再通,中心静脉的梗阻是最常见原因,由于深静脉血栓后瓣膜破坏,加重了静脉反流的程度,该患者的下肢静脉造影也证明了其梗阻与反流同时存在的情况。
2.是髂静脉狭窄、股静脉狭窄还是腘静脉狭窄,对于未经正规治疗的下肢深静脉血栓,往往会发展到全肢型。继续进展至深静脉血栓后综合征阶段时,通常同时并存髂静脉及股静脉狭窄,由于静脉的弹性回缩及肌肉压迫、肢体活动等问题,目前对于下肢静脉狭窄的有效介入处理主要集中在髂静脉,所以临床上髂静脉支架的应用较为广泛,股腘静脉狭窄可以选用多次介入球囊扩张或自体静脉转流的方式来处理。
3.入路选择及支架选择:PTS的介入入路众多:同时股静脉、股深静脉、腘静脉、大隐静脉、小隐静脉。入路的选择需满足下列条件:①有足够的支撑力,由于静脉管壁薄,可移动范围大,不同于动脉,多数患者通过对侧穿刺不能完成操作;②有足够的直径,能满足静脉支架的鞘管通过;③容易压迫止血。静脉置入支架时考虑到静脉管壁薄、弹性大、病变范围广可选用柔顺性佳、支撑力强、覆盖性好的产品,但目前还没有可以兼顾所有特性的支架,所以需根据患者病变血管的特点来个体化选择。
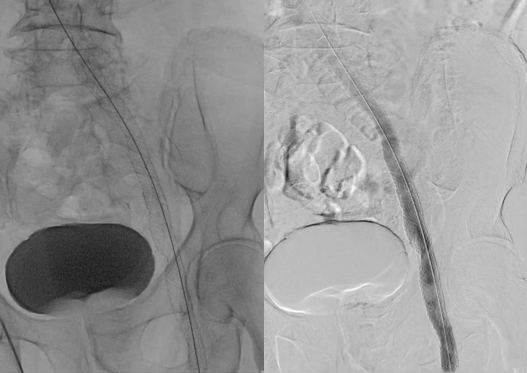
三、手术操作

彩超引导下穿刺左侧腘静脉行造影示:左侧髂股静脉管腔闭塞,大量侧支循环建立。

利用超滑导丝及微导丝反复尝试通过髂股静脉闭塞段引入球囊扩张导管行髂股静脉球囊扩张成形,扩张过程中可见明显切迹。

球囊扩张后支架定位,透视下释放14×140mm支架2枚,术后评估支架扩张良好,支架头端定位伸入下腔静脉5mm左右,未覆盖右侧髂总静脉开口。
四、术后情况:
术后给予阿司匹林100mg/QD,低分子肝素0.6ml皮下注射/Q12H,术后第二日左下肢水肿、沉重感、麻木明显减轻,出院后改用口服利伐沙班抗凝治疗,建议抗凝、抗血小板1年。
髂静脉疾病是目前越来越得到大家重视的疾病,在我国,下肢静脉疾病的发病率高达8.89%,年发病率为0.5%~3.0%。流行病学显示,50岁左右的下肢不适人群,静脉疾病发病率高达63.9%。髂股静脉的治疗有着独特的挑战,包括静脉直径相对较大,伴随弥漫性和局灶性病变,存在外在压迫等,如果合并血栓,局部情况就更为复杂。
深静脉血栓后果主要是肺动脉栓塞和血栓后综合征(post-thrombotic syndrome,PTS)。深静脉血栓在急性阶段不能得到及时诊断和处理,一些血栓可能会脱落,造成肺等重要脏器的栓塞而导致死亡。因此对于髂静脉压迫合并深静脉血栓患者早期充分血栓清除后静脉支架植入可以有效缓解患者症状、预防血栓复发,预防PTS的发生。
介入治疗的发展为临床解决了很多难题,使原先不能手术或手术难度很大的疾病得到了简单有效的治疗,呼和浩特市第一医院介入血管外科是集临床、教学、科研为一体的临床重点科室,科室带领的“急性重症肺动脉栓塞介入治疗团队”被评为我院“优秀医师专业团队”院级“VTE防治护理小组”在我科成立并由我科护士长担任组长。科室现由门诊,病房组成。现拥有开放床位20张,介入血管科作为医院外周血管及综合介入业务科室,开展以下业务:1)肝癌、胃癌、肺癌、肾癌、膀胱癌、肝血管瘤、子宫肌瘤等良恶性肿瘤的微创介入治疗;2)头颈部、四肢及内脏血管狭窄或闭塞性病变的腔内成形术;3)大血管病变的腔内治疗,如B型主动脉夹层、胸腹主动脉瘤、髂动脉瘤等;4)内脏动脉瘤的栓塞治疗,如脾、肾、肠系膜动脉瘤等;5)静脉血栓栓塞症(VTE)的治疗,如下肢静脉血栓的血栓清除、接触性导管溶栓、静脉支架置入、肺动脉栓塞的血栓抽吸、腔静脉滤器置入/取出等;6)肝硬化食管胃底静脉曲张破裂出血的介入治疗,如门腔静脉分流术、胃冠状静脉栓塞术等,降低曲张静脉破裂出血风险;7)下肢浅静脉曲张的微创腔内消融闭合治疗,满足爱美人士需求;8)非血管管腔狭窄或闭塞的介入诊疗,如食管、结直肠支架置入,胆管支架置入等。9)各类外伤性大出血的急诊介入栓塞治疗,是抢救此类患者的神兵利器,极大增加了抢救成功率。健康所系,性命相托。在病魔面前,医务人员会用最佳方案、最小代价去救治病患,实现患者利益最大化。
咨询联系方式:任瑞军主任13947104043


