呼和浩特市第一医院神经外科手术病例分享——颅底肿瘤切除术
鞍结节脑膜瘤(tuberculum sellae menigioma),是起源于鞍结节、前床突、鞍隔以及蝶骨平台的脑膜瘤占所有脑膜瘤的7%-10%,常伴有鞍结节骨质增生。鞍结节脑膜瘤沿脑膜向周围生长,向前可达眶尖,向后可达斜坡及小脑幕,向外沿中颅窝底扩展,向内可累及鞍内垂体腺。由于其生长在颅底,空间狭小,颅底孔道众多,周围神经、血管结构复杂,众多神经血管由此出入,因此肿瘤暴露困难,手术切除难度大。鞍结节脑膜瘤常最早侵犯视神经,多以视力障碍为首发症状,产生颅高压为引起头痛、恶心、呕吐,侵犯垂体会出现垂体功能障碍相应症状。

现分享一例我科近期鞍结节脑膜瘤手术病例:
病史:患者,女,56岁,因双眼视力下降1年,曾就诊多家医院眼科,治疗效果差;6个月前,患者在外院行头颅核磁检查示鞍结节占位性病变,脑膜瘤可能?患者转来我院神经外科就诊。体格检查:神志清楚,双侧瞳孔等大等圆,直径2.5mm,双侧瞳孔直接、间接光反射较灵敏,双眼视力粗测差,左眼米处数指,右眼眼前数指,右侧颞侧偏盲,眼球运动无活动受限,四肢肌力正常,肌张力不高,生理反射存在,病理反射未引出。


术前眼科检查:双眼视力OS:0.1,OD:0.02 左眼下方视野缺损,右眼颞侧及下方视野缺损。

王伟志主任组织全科人员进行术前病例讨论,根据患者病史、症状、体征及影像学检查,术前诊断:颅内占位性病变1.鞍结节脑膜瘤?2.左额良性肿瘤;该肿瘤位于颅底中央区,严重侵袭包绕周围血管、神经等重要结构,同时CT可见肿瘤有钙化,质地可能很硬韧,因此本次手术风险极高、难度很大,术前充分告知家属及患者手术风险;考虑到患者左额部有一占位,建议术中同时切除,决定本次手术入路采取冠状开颅经左额外侧肿瘤切除。手术方案:冠状开颅经左额外侧入路肿瘤切除术。

手术过程:麻醉医生贺林春精心细致地为患者实施气管插管全麻,BIS和鼻温监测,以及中心静脉置管,为手术提供安全保障;在贾群英护士长,手术护士乌日罕、樊荣的默契配合下,手术顺利进行,术中见肿瘤基地位于鞍结节,前方向蝶骨平台区生长,两侧包绕颈内动脉及双侧视神经,并向视神经管内生长,后方压迫垂体及垂体柄,向上向后推挤视交叉及三脑室底部,肿瘤色粉红,质地软韧,血供丰富,与视神经粘连严重,显微镜下分块切除肿瘤。术后病理回报砂粒体型脑膜瘤(WHO I)。术后患者视力、视野明显好转,复查头颅核磁肿瘤切除干净。

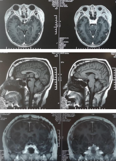
术后复查:头颅核磁

术后眼科检查:双眼视力OS:0.4,OD:0.1 双眼未见视野缺损。

呼和浩特市第一医院神经外科成立于1990年,目前科室拥有床位43张,年平均手术量近300台,其中三、四级手术达85%。科室分血管病、创伤重症、肿瘤三个亚专业,神经内镜技术为科室特色诊疗技术,科室与首都医科大学北京天坛医院、北京宣武医院、北京朝阳医院、上海华山医院建立长期合作关系,专家为我院提供技术、学术支持,科室陆续派出青年医师、护士进修学习国内先进的诊疗、护理技术,为患者提供更精准的服务,造福广大人民群众。
咨询电话:0471-5281409 0471-5281209

