新技术新业务 助力医院高质量发展|呼和浩特市第一医院甲状腺手术迈入“腔甲”时代
近日,我院甲乳疝外科苏力夫主任团队,在麻醉科的大力支持与配合下,成功为一位甲状腺肿物患者施行了胸-乳入路颈部无瘢痕腔镜甲状腺腺叶近全切除术,该手术为我院首例自主腔镜甲状腺手术,患者术后恢复顺利,已好转出院。
病历回顾:患者男性,69岁,因发现甲状腺肿物1月入院。查体:颈前皮肤表面无红肿及皮肤破溃,甲状腺左叶可触及肿大结节,约3x2.5cm大小,质韧,随吞咽上下活动,活动度好,境界清,轻触痛。右叶未及明显肿大,外彩超示:甲状腺左叶囊实性结节,TI-RADS 3类。患者及家属有强烈颈部无瘢痕美容手术意愿,术前化验、甲功、甲状旁腺激素正常,心彩超、血气、肺功能正常。
由于手术中需要开展神经监测技术,需要用到特殊的气管插管及调整肌松药用量,术前甲乳疝外科苏主任与手术麻醉科白主任、贾护士长组织了科内疑难病例讨论及科室间MDT讨论,会上在围手术期特殊处理、术中麻醉支持等方面进行了深度交流与周密的准备。
经术前详尽准备,于2022年7月7日按预定计划手术。

图1.术前疑难病例讨论、MDT

图2.术前彩超形态学检查

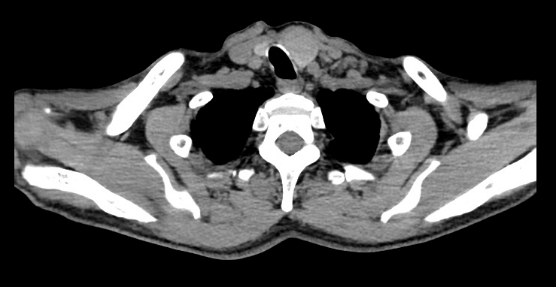
图3.术前CT形态学检查

图4.手术中白主任麻醉支持

图5.手术开始,苏主任于术区皮下注射“膨胀液”后,做拟操作切口

图6.建腔第一步,可视剥离棒扩充皮下,创建观察腔道

图7.建腔第二步,腔镜监视下,创建操作腔道

图8.建腔成功后,常规进入颈前甲状腺操作术区,切开颈白线

图9.显露甲状腺左叶肿物,超声刀横断峡部、游离环甲间隙

图10.置入腔镜甲状腺特殊无创拉钩,暴露甲状腺后背膜,监测喉返神经并暴露

图11.术中监测喉返神经信号良好、波形正常

图12.行甲状腺左叶近全切除,创腔严格止血,置入负压引流,术毕

图13.术后病理示:结甲伴囊性变、乳头样增生

图14.1术后颈胸壁局部情况

图14.2 出院拔管后颈胸壁局部情况
随着手术技术的不断进步和患者对手术后美容效果要求的不断提高,颈部无瘢痕腔镜甲状腺手术被越来越多的医生和患者所选择。与传统甲状腺手术相比,腔镜甲状腺手术切口隐蔽,同时由于术中腔镜的放大作用,对于血管、神经和甲状旁腺具有更好的辨识和保护,有助于减少术中出血,加快术后恢复。甲乳疝外科此次成功自主开展此术式,填补了我院空白,为我院提升专科服务能力、更好地服务老百姓,再添新绩!

