开拓创新 再攀高峰——呼和浩特市第一医院肝胆外科顺利完成院内首例腹腔镜下肝左外叶切除术
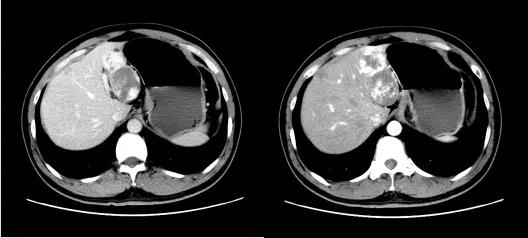
患者,男性,43岁,居住于呼伦贝尔,因“发现肝左侧占位3年,且逐年增大”就诊我院,既往有膝关节半月板损伤病史,上腹部增强CT如下图示。

入院后完善相关检查,多学科会诊,考虑患者肝占位为血管瘤可能性大,按照《肝血管瘤诊断和治疗多学科专家共识》,患者具备干预指征,同时患者合并半月板损伤,决定对患者进行联合手术治疗。2021年8月3日在手术麻醉科白艳艳主任、器械护士李瑞小护师、巡回护士娜娜护士长密切配合下,肝胆外科张俊晶、薛超、王勇组成腔镜手术团队,骨科高强、杨国君组成关节外科团队,为患者施行了腹腔镜下肝左外叶切除术+左侧半月板成形术+关节化膜切除术。患者术后恢复良好,无并发症发生,在医护人员的精心护理下顺利出院。此项手术为我院首例。
既往肝血管瘤治疗方式多样,但每一种方式都有优缺点,腹腔镜技术的应用结合了所有方式的优点,既切除病灶又减少对身体打击,腹壁微切口亦避免恢复后造成的长期心里压力。该患者同时进行腹腔镜下肝左外叶切除术+膝关节镜手术,做到了住一次院,同时解决两种疾病问题,为患者节省了住院费用,缩短了住院时间,也体现了我院多学科协作的能力。

术中探查肝左外叶血管瘤

切除肝左外叶及血管瘤标本

腹壁戳卡布局及切口

张俊晶,主任医师,党委委员副院长
从事普通外科疾病诊疗工作,尤其擅长肝胆胰脾的疑难病、危重病诊疗,在肝胆胰脾微创治疗领域居内蒙古自治区领先、国内先进水平。是全国卫生系统青年岗位能手、内蒙古自治区草原英才、内蒙古高等教育青年领军人才,内蒙古自治区突出贡献专家。为首届内蒙古青年创新人才奖、内蒙古中青年科学技术创新奖获得者。2011年获得首都医科大学普通外科博士学位。任中国医师协会外科医师分会微创外科委员会青年委员会委员、中国中西医结合学会灾害医学专业委员会教育培训学组委员、内蒙古医学会外科学分会委员、内蒙古医学会外科学分会胰腺学组副组长、内蒙古医师协会肝胆胰脾外科医师分会常委。

呼和浩特市第一医院肝胆外科目前科室拥有电子胆道镜,高清/3D腹腔镜、液电碎石仪、等大型先进医疗设备。科室常规开展包括复杂胆道手术,胆道镜检取石,胰十二指肠切除术、三肝叶/半肝切除术、肝门胆管癌根治术、全胰切除术等大型、高难度肝胆胰外科手术。科室对抢救包括多器官功能衰竭、急性重症胰腺炎、急性胆管炎、肝脾破裂等危急重症患者积累了丰富的临床经验,救治成功率达到自治区先进水平。“长风破浪会有时,直挂云帆济沧海”,肝胆外科一路走来,在医院领导的关心、人民群众的支持下,逐渐发展壮大,而肝胆外科的全体成员也将继续以增强肝胆胰疾病诊治水平为己任,以提高广大人民群众健康水平为使命,脚踏实地,既往开来,不忘初心,奋力前行。
